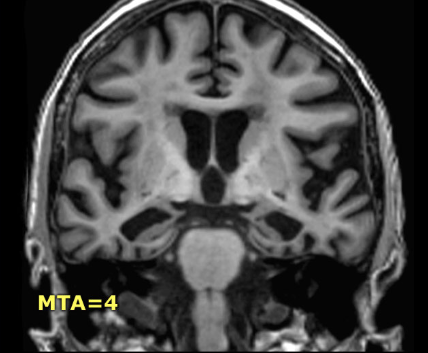
Patient in Dementia. Get link Facebook X Pinterest Email Other Apps - March 22, 2020 Reference Get link Facebook X Pinterest Email Other Apps Comments
Too Small To Characterize Hepatic Lesions (click on images to enlarge). - December 31, 2017 Read more
MAGNIMS consensus on MRI diagnosis of multiple sclerosis (click on images to enlarge). - January 16, 2018 Read more
Comments
Post a Comment